猫は暑くても運動をしても口をあけて呼吸(開口呼吸)をすることはありません。
犬では一般的な呼吸様式でパンティングといって、暑い時や運動時に口を開けて呼吸する事で熱を逃しますね。
猫で開口呼吸をしている時はかなり稀な状況です。
どんな時に起こるかというと過度に興奮した時やよっぽど苦しい時。苦しいとすれば呼吸器疾患や心疾患が疑われ緊急性が高い状況です。
口を開けていなくても呼吸が早いことがあります。呼吸に伴い鼻がピクピクしている(鼻翼呼吸)、横にならずにじっとしている、肩や胸、お腹が呼吸に伴い大きく動いている等は苦しいサインです。
呼吸が苦しくなる猫の心臓の病気で一番多いのは心臓の筋肉の病気で心筋症です。
心筋症には様々な型がありますが、いずれも心筋の機能が悪くなることで心臓が血液を全身へ送れなくなり進行すると症状がでます。
病気が進行した際の
【心筋症の賞状の3大徴候】
- 心不全:心機能が低下して肺水腫、胸水、心膜液が出る。特に肺や肺周囲に水がたまると呼吸が苦しくなります。ひどい時は開口呼吸になります。
- 血栓症:血栓(血の塊)ができて血管につまり、手足の筋肉に血が通わなくなりかなり強い痛みがでます。多くの場合は突然鳴きながら痛がっているということで来院されます。心機能が落ちることで血液が心臓の中で滞留してしまっ血栓ができそれが血管の先に飛んでしまった状況です。
- 不整脈:心筋に異常が出ると不整脈が出やすくなります。失神、心不全、突然死へとつながることがあります。
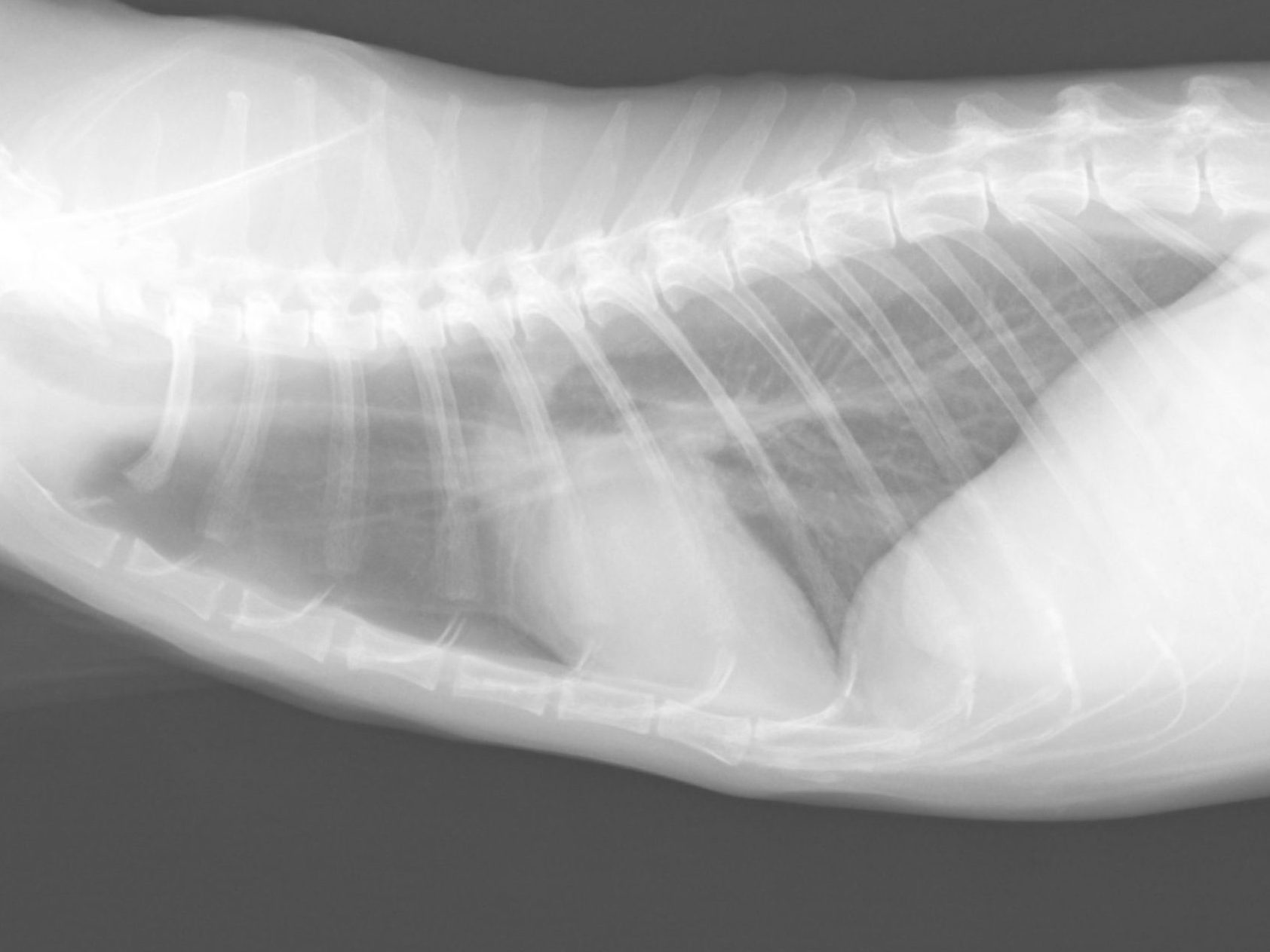
実際に胸水が溜まってしまった心筋症の子の胸部X線写真です。
呼吸が苦しそうで食事をとらないと来院され皮膚の外から針を指して胸水を抜くという緊急治療をしました。この時は300ml近く胸水がありました。


心筋症の子も初期は症状がないため、ご家族が気がついていないうちに病気が進行して、上記の症状が突然出て病気に気がつくことがあります。
“米国獣医内科学会(ACVIM)の猫の心筋症ガイドライン”ではステージ分類とそれぞれの治療指針があります。ステージはAからDへ進むにつれて重度となります。(ステージAは心筋症はないけど素因を持つ猫になります。)
- ステージB1 エコー検査で心臓の形の異常は確認できるが症状は出ないレベル →無治療、定期検査推奨
- ステージB2 心臓の筋肉の異常に加えて左心房という心臓の部屋が顕著に拡大します。
この段階でも症状はありません→血栓予防薬 - ステージC 前述した1-3のような症状が出た、あるいは過去に症状が出て治療で安定→心不全の薬
- ステージD 通常の治療では安定せずに常に状態が悪い→心不全の薬
実際の心筋症の猫の心臓エコー検査像です。心筋が厚く(写真3)て左心房という部屋が拡大(写真4)しています。


症状がなくても定期検査をしておくと、進行した場合はしかるべき時に内服薬の開始できます。
病気を完治する薬はありませんが、血栓症になる確率を下げてくれるお薬はあります。
また、普段から自宅で看ていくポイントをお伝えすることで、猫ちゃんは苦しくてもじっと耐えて症状がわかりにくいので苦しくなる兆しが出た早期の時点で病院に来ていただくこともできます。
この病気は心臓エコー検査で見つけ出すことが可能です。
ただ、1度の検査で問題がなかったからその後もずっと問題がないと保証される病気ではないため、ご心配な方は年に1度程度の健康診断をお勧めしております。
ごく稀な病気の場合は元気な時に検査をお勧めするということはありませんが、心筋症の有病率(病気をもつ率)は世界の報告を見ると15〜29%と決して低くないこと、進行すると強く辛い症状が出るのも検診をお勧めする理由になります。
ただ、検査によってストレスが強くかかる子や暴れてしまうことで負担がかかる子は、ごく短い時間でのエコー検査や瞬時に終わる血液検査に留めるなど工夫が必要です。(エコー検査が最も精度が高い検査ですが血液のバイオマーカーで心筋症の疑いの有無をみれます)
また、すでに心臓病がある子の中には定期検査の来院前に気持ちが落ち着く薬を飲んできてもらい負担を軽減しています。
検査のストレスがかわいそうだから症状が出た時に考えるという選択肢もありますが、できれば早期発見で辛くならないように先回りで対応してあげたいですよね。検診をするメリットとよく天秤にかけてこの子にはどうしてあげたら一番いいのかご希望を聞きながらご相談させてもらうことができます。
ご不明点やお困りのことがあればご相談くださいね。